
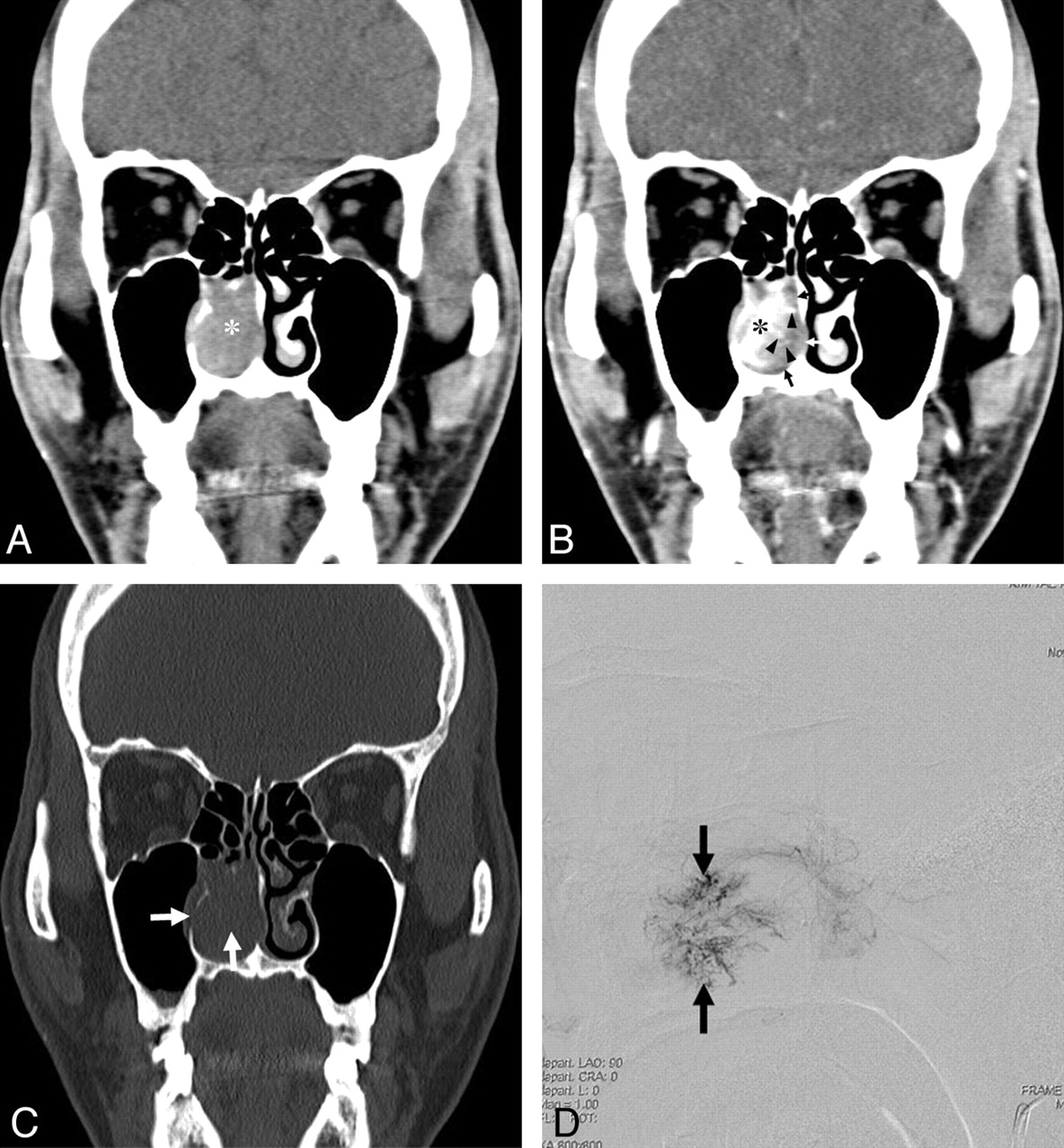
વિશ્વનો બીજાે અને ભારતનો પ્રથમ કેસરાજકોટમાં મળ્યો નાકના પડદામાં લોહીની ગાંઠનો કેસદર્દીને છેલ્લા ૨ મહિનાથી એક બાજુ નાકમાંથી વારંવાર રક્તસ્ત્રાવ થતો હતો, સાથે નાક બંધ રહેવું અને માથાનો દુખાવો થતો હતારાજકોટના જાણીતા ઈએનટી સર્જન ડૉ. હિમાંશુ ઠક્કરે તબીબી ક્ષેત્રમાં એક અનોખી સિદ્ધિ નોંધાવી છે. ૩૦ વર્ષના પુરુષ દર્દીના નાકમાં થયેલી દુર્લભ લોહીની ગાંઠ Anastomosing Hemangioma of Nasal Septum ને દૂરબીન વડે સફળતાપૂર્વક દૂર કરીને તબીબી જગતમાં નવી ઉપલબ્ધિ હાંસલ કરી છે. ઉપલબ્ધ મેડિકલ લિટરેચર અનુસાર આ ભારતમાંથી નોંધાયેલો કદાચ પ્રથમ અને વિશ્વમાં નોંધાયેલો માત્ર બીજાે કેસ ગણાય છે.આ પ્રકારનો હેમેન્જિયોમા સામાન્ય રીતે કિડની અને જનિટોયૂરિનરી ટ્રેક્ટમાં જાેવા મળે છે. પરંતુ નાકના પડદા (નાસલ સેપ્ટમ)માં આ પ્રકારનું લોહીની ગાંઠરૂપ ટ્યુમર વિકસવું અતિ દુર્લભ છે. દર્દીને છેલ્લા ૨ મહિનાથી એક બાજુ નાકમાંથી વારંવાર રક્તસ્ત્રાવ થતો હતો, સાથે નાક બંધ રહેવું અને માથાનો દુખાવો થતો હતો. આ લક્ષણોને ધ્યાનમાં રાખીને ડૉ. ઠક્કરે નાકની એન્ડોસ્કોપિક તપાસ કરી, જેમાં જમણા નાકના ભાગમાં નેસલ સેપ્ટમ સાથે જાેડાયેલી લાલ, મસા જેવી અસામાન્ય રચના જાેવા મળી.
કોન્ટ્રાસ્ટ CT સ્કેનથી જાણવા મળ્યું કે આ રચના રક્તવાહિનીઓની જાળ જેવી ગૂંચથી બનેલી છે. નેસલ સેપ્ટમમાં આવી રચના દેખાવું અત્યંત દુર્લભ હોવાથી, ડૉ. ઠક્કરે ખાસ કાળજીપૂર્વક એન્ડોસ્કોપિક સર્જરી કરવાની યોજના બનાવી. સચોટ નિદાન બાદ ઓપરેશન ખૂબ ધ્યાનપૂર્વક કરવામાં આવ્યું અને ટ્યુમરને સંપૂર્ણપણે દૂર કરવામાં આવ્યું. બાયોપ્સી રિપોર્ટમાં પુષ્ટિ થઈ કે આ લીઝન Anastomosing Hemangioma છે, જે બિન-કેન્સરજન્ય પરંતુ અત્યંત દુર્લભ પ્રકારનું વાસ્ક્યુલર લીઝન છે.
ઓપરેશન દરમિયાન ઓછામાં ઓછું બ્લીડિંગ થાય તે માટે ડૉ. ઠક્કરે વિશેષ તકનીકનો ઉપયોગ કરીને સર્જરી પૂર્ણ કરી. સર્જરી બાદ દર્દી સંપૂર્ણ સ્વસ્થ થઈ ગયા છે અને હાલ સામાન્ય રીતે શ્વાસ લેવામાં કોઈ મુશ્કેલી નથી.આ સફળતા વિશે ડૉ. હિમાંશુ ઠક્કરે જણાવ્યું કે નાકના પડદામાં આવી લોહીની ગાંઠ જેવી રચના જાેવા મળવી ખૂબ જ દુર્લભ બાબત છે. આવા કેસ માત્ર રાજકોટ માટે નહીં, પરંતુ સમગ્ર ભારતના મેડિકલ ક્ષેત્ર માટે ગૌરવની બાબત છે. આ કેસની નોંધ વૈશ્વિક મેડિકલ સાહિત્યમાં લેવાય તેવી શક્યતા છે. આ કેસ તબીબી ક્ષેત્રે “રેરેસ્ટ ઓફ રેર” તરીકે ગણાય છે. તબીબી સાહિત્યમાં અત્યાર સુધી માત્ર એક જ સમાન કેસનો ઉલ્લેખ છે, અને ડૉ. હિમાંશુ ઠક્કરની આ સિદ્ધિ વિશ્વસ્તરે ભારતનું નામ ઉજાગર કરે છે. એન્ડોસ્કોપિક ટેકનિક વડે કરવામાં આવેલી આ સર્જરી માત્ર તકનીકી કુશળતાનું નહીં પરંતુ વૈજ્ઞાનિક સંશોધન અને નિદાનની ઊંડી સમજનું પણ પ્રતીક છે. રાજકોટના તબીબી ક્ષેત્રમાં આ સિદ્ધિથી નવી દિશા મળી છે કે અતિ દુર્લભ અને જટિલ કેસ પણ યોગ્ય નિદાન, આધુનિક ટેક્નોલોજી અને નિષ્ણાત સર્જનની કુશળતા વડે સફળતાપૂર્વક સારવાર મેળવી શકે છે.




